רע¶¯Îï¿óÎïÔªËØÓªÑøÓ뽡¿µ

¹Ø×¢¹«ÖںйØ×¢ÊÓÆµºÅ

ÁªÏµµç»°400-027-1997

ÁªÏµµç»°19183816468

bbin±¦Ó¯-ÐÂÎÅÖÐÐÄ

ÈÈËѹؼü´Ê£º µ°¼¦ËÇÁÏÌí¼Ó¼Á³§¼Ò ÉúÎïËÇÁÏÌí¼Ó¼Á Ìí¼Ó¼ÁËÇÁÏ ËÇÁÏÌí¼Ó¼Á³§¼Ò

Öβ»ÈçÑø£¬ÑøÎ¸ÊÇÔ¤·À¼¦ÏÙθÑ׺ͼ¡Î¸Ñ×µÄÓÐЧÊÖ¶Î

À´Ô´£ºbbin±¦Ó¯Î¢ÓªÑø | ·¢²¼ÈÕÆÚ£º2022-05-25

  ÑøÉúÓÐÃûÑÔ˵¡°Î¸²¡ÊǸ»¹ó²¡£¬ÖÎθ²»ÈçÑøÎ¸¡±£¬Õâ¾ä»°ÔÚ¼¦Ò²ÊÊÓá£

  ÏÙθÑס¢¼¡Î¸Ñ×ÒѳÉÎªÑø¼¦ÁìÓòÈÝÒ×´«²¥Á÷ÐеĴ«È¾ÐÔ¼²²¡£¬ÔÚÈκÎÄêÁäºÍÆ·Öֵļ¦ÈºÖоù¿É·¢Éú£¬²¢ÇÒ·¢²¡ÂʳÊÏÖÖðÄêÉý¸ßµÄÇ÷ÊÆ¡£

  1.ÏÙθºÍ¼¡Î¸µÄ½âÆÊѧºÍÉúÀíÑ§ÌØÕ÷¡£

  ¼¦µÄθ·ÖΪÏÙθºÍ¼¡Î¸£¨Èçͼ1Ëùʾ£©£¬ÏÙθ±È½ÏС£¬¿É·ÖÃÚÑÎËáºÍθµ°°×ø¡£ÏÙθÈÝÁ¿Ð¡£¬ËÇÁϲ»»áÔÚ´ËÍ£ÁôÌ«³¤Ê±¼ä¡£¼¡Î¸±È½Ï´ó£¬Óɸ߶ȷ¢´ïµÄ¼¡Èâ²ã×é³É, ¿É¶ÔʳÎï²úÉú¸ßѹÁ¦, ½«ËÇÁÏÄ¥Ëé,Æðµ½ÀàËÆÓÚ¡°ÑÀ³Ý¡±µÄ×÷Ó㬵«²»·ÖÃÚÈκÎø¡£¼¡Î¸¿¿½üÄÚÇ»´¦ÓÐÒ»²ã½ÇÖʲã, ¸Ã²ã¿É¶ÔËÇÁϽøÐлúе¼Ó¹¤,²¢¿ÉÆðÆÁÕÏ×÷ÓÃ, ±£»¤ÆäϵÄճĤ²ãÃâÊÜÑÎËἰθµ°°×øµÄÇÖÏ®¡£

¼¦µÄÄÚÔà½âÆÊͼ

ͼ1 ¼¦µÄÄÚÔà½âÆÊͼƬ

  2. ÏÙθÑ׺ͼ¡Î¸Ñ×µÄÖ¢×´¡£

  2.1ÏÙθÑ× ÌØÕ÷ÐÔ֢״ΪÏÙθÖ×´ó£¬ÑÏÖØÕß³ÊÇòÐÎ,ð¤Ä¤Ë®Öס¢Ñ×Ö¢¡¢³öѪ¡¢À£Àá£

  2.2¼¡Î¸Ñ×£¨gizzard erosion£©¶à·¢ÉúÓÚÈÕÁä½Ï´óµÄÈâ×즻ò5ÔÂÁäÒÔϵĵ°¡¢ÖÖ¼¦£¬ÁÙ´²ÉÏÒÔÉú³¤·¢ÓýÊÜ×è¡¢¼¡Î¸½ÇÖʲãÀ£ÑñÃÓÀᢾֲ¿Ôöºñ£¬ð¤Ä¤²»Ò×°þÀ룬θÄÚÈÝÎï±ä»Æ¡¢±äÂÌ¡¢±äºÚ£¬·à±ã³ÊºÚºÖɫϡ·à»òÈí·à£¬ÒòÅ»ÍÂÎïΪºÚºÖɫҺÌ壬¹ÊGEÓÖ³ÆÎª¡°ºÚɫŻÍ²¡£¨black vomit£©¡±·¢²¡Âʽϸߣ¬Èç²¢·¢»ò»ìºÏ¸ÐȾʱ£¬ËÀÍöÂʽϸß¡£²¡³õ£¬¼¦Èº¾«Éñ³ÁÓô£¬Ëõ¾±´ôÁ¢»ò¶×·ü£¬²ÉʳÁ¿Ï½µ£¬²»Ô¸×ß¶¯£»Ëæºó£¬ÅźںÖɫϡÈí·à±ã£¬ÈÕ½¥ÏûÊÝ£¬¸ö±ð¼¦à¼ÄÒËÉÈíÀ©ÕÅ£¬½«¼¦µ¹Ìá»ò¼·Ñ¹à¼ÄÒ£¬¿É´Ó¿ÚÖÐÁ÷³ö½´ÓÍ×´ºÚºÖɫҺÌå£¬Ëæºó²¡¼¦ÒòÏûºÄË¥½ß¶øËÀ£¬Ò²ÓÐÍ»·¢ËÀÍöÏÖÏó¡££¨Èçͼ2Ëùʾ£©¡£

¼¦¼¡Î¸Ñ×½âÆÊͼ

ͼ2 »¼ÏÙθ¡¢¼¡Î¸Ñ×Ö¢²¡¼¦½âÆÊͼ

  3. Òý·¢ÏÙθÑ׺ͼ¡Î¸Ñ×µÄÒòËØºÍÖ²¡»úÖÆ¡£

  3.1 ·Ç´«È¾ÐÔÒòËØ¡£

  3.1.1 ù¾ú¶¾ËØ

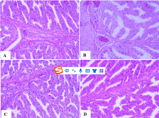
  ·¢Ã¹ËÇÁÏÖÐù¾ú¶¾Ëغ¬Á¿ºÜ¸ß£¬ÇÒÖÖÀà·±¶à¡£T-2¶¾ËØ¡¢µ¥´×ËáѬ²ÝÁ­µ¶¾úÏ©´¼(monoacetoxyscirpenol, MAS) ºÍ¶þ´×ËáѬ²ÝÁ­µ¶¾úÏ©´¼£¬Êǵ¥¶Ëæßùϩ×鸯ʴÐÔ½ÏÇ¿µÄ3ÖÖù¾ú¶¾ËØ¡£T- 2¶¾ËغÍDASÊǸÃ×éÖи¯Ê´ÐÔ×îÇ¿µÄù¾ú¶¾ËØ, ¿ÉÒýÆðÑÏÖØµÄÏÙθ¡¢¼¡Î¸ºÍÓðëÉÏÆ¤ð¤Ä¤»µËÀ,²úÉúÑÏÖØµÄ¼¡Î¸ÃÓÀò¡±ä¡£Ö÷Òª×÷ÓûúÀíÓÐÁ½·½Ã棺ÆäÒ»ÊÇ¿ÚÇ»ÖеÄÍÙÒºÌá¸ßÁËÕâЩù¾ú¶¾ËصÄ𤸽Á¦,µ¼ÖÂϸ°ûÔ­ÉúÖÊÈܽâ¸Ã²¿Î»ÖеÄϸ°û¡£Æä¶þÊǶ¾ËØÎüÊÕ½øÈëѪҺ, Ëæºó½øÈëÍÙÒº; ¶øÍÙÒºÖеÄù¾ú¶¾ËØ»áʹ¿ÚÇ»·¢Éú²¡±ä, ¿ÉÄÜ»áË𺦼¡Î¸¡£Àƽ·¢ÏÖ£¬Ã¹¾ú¶¾ËØ¿ÉÌá¸ß³û¼¦µÄÏÙθºÍ¼¡Î¸Ö¸Êý£¬ÒýÆð³û¼¦ÏÙθ¡¢¼¡Î¸×éÖ¯·¢ÉúËðÉË£¬Ê¹ÏÙθ¡¢¼¡Î¸³öÏÖ»µËÀ¡££¨Èçͼ3Ëùʾ£©

ù¾ú¶¾ËضԳû¼¦ÏÙθ×éÖ¯²¡ÀíËðÉ˹۲ì

ͼ3 ù¾ú¶¾ËضԳû¼¦ÏÙθ×éÖ¯²¡ÀíËðÉ˹۲죨HEȾ£¬400¡Á£©

A£º¶ÔÕÕ×飬B£º¶¾ËصͼÁÁ¿×飬

C£º¶¾ËØÖмÁÁ¿×飬D£º¶¾Ëظ߼ÁÁ¿×é

  3.1.2 ÁòËáÍ­Öж¾

  ÁòËáÍ­×÷Ϊ´ÙÉú³¤¼Á»òÒÖù¾ú¼Á£¬³£ÒÔ500g/tµÄŨ¶È¼ÓÈëËÇÁÏ×÷ΪÉú³¤´Ù½ø¼Á»òÒÖÕæ¾ú¼Á¡£µ±·¢ÏÖËÇÁÏÊܵ½ÑÏÖØµÄù¾úÎÛȾʱ, ÁòËáÍ­Ìí¼ÓŨ¶È³£³£Ìá¸ßµ½ 1kg/t, ¸ßŨ¶ÈµÄÁòËáÍ­¶Ô¼¦µÄθ³¦Õ³Ä¤¿É²úÉúÇ¿ÁҴ̼¤×÷Ó㬵¼ÖÂà¼ÄÒºÍʳµÀϲ¿·¢ÉúÄý¹ÌÐÔ»µËÀ£»¼¡Î¸Õ³Ä¤¿¨ËûÐÔÑ×Ö¢£¬³Êµ­ÂÌÉ«²¢ÓгöѪµã£¬ÑÏÖØÊ±µ¼Ö¼¡Î¸ÃÓÀá£

  3.1.3 ÉúÎï°·

  ÉúÎï°·Ö÷ÒªÊǶ¯ÎïÔ´ÐÔËÇÁÏÖа±»ùËá½µ½âºóµÄ¸±²úÆ·, Ö÷Òª°üÀ¨Ê¬°·¡¢É«°·¡¢×é°·¡¢¸¯°·¡¢¾«°·¡¢ÀÒ°·¼°±½±û°±Ëá¡£Á´Çò¾ú¡¢É³ÃÅÊϾú¡¢Ö¾ºØÊϾú¡¢ÈéËá¾ú¡¢´ó³¦¸Ë¾úºÍËó¾úµÈϸ¾ú¿ÉÒÔ½«×é°±Ëáת»¯Îª×é°·, ¶ø×é°·Êǵ¼ÖÂ×м¦Éú²úÐÔÄܵÍϵÄ×îÖØÒªµÄÉúÎï°·Ö®Ò»¡£Ëü¿É´Ì¼¤ÏÙθÏÙÌåÖеÄÊÜÌå, Ìá¸ßÑÎËá·ÖÃÚÁ¿, µ¼Ö±í²ã¼¡Î¸ÃÓÀá£

  3.1.4 Óã·ÛÖеļ¡Î¸ÃÓÀÃËØ¡£

  Óã·ÛÒ»Ö±±»ÈÏΪ¿ÉÒý·¢¼¡Î¸ÃÓÀã¬ÒýÆð²¡±ä³Ì¶È´Ó¼¡Î¸Ï¸Ð¡µÄÁѺ۵½ÑÏÖØµÄÀ£Ññ¡¢³öѪ£¬Ëæºó¼¡Î¸Ôâµ½»Ù»µ£¬¼´ËùνµÄ¡°ºÚɫŻÍ¡±¡£Èç¹ûÓã·Û¼Ó¹¤²»µ±£¬¸ßÎÂÏÂ×é°±Ëá»ò×é°·ÓëÀµ°±Ëá½áºÏÐγÉÒ»Öֽм¡Î¸ÃÓÀÃËØ(gizzerosine)µÄ»¯ºÏÎï¡£¼¡Î¸ÃÓÀÃËØ²»ÊôÓÚÉúÎï°·, µ«Æä´Ì¼¤ÏÙθ²úËáµÄÄÜÁ¦ÊÇ×é°·µÄ10±¶, Òý·¢¼¡Î¸ÃÓÀõÄÄÜÁ¦½«½ü×é°·µÄ300±¶¡£¿ÉÀûÓøßЧҺÏàÉ«Æ×ÒÇ(HPLC)À´¼ì²âÓã·Û¼°ËÇÁÏÖм¡Î¸ÃÓÀÃËØµÄº¬Á¿, È⼦ÄÜÄÍÊܵÄËÇÁÏÖÐ×î´ó¼¡Î¸ÃÓÀÃËØÅ¨¶È0.4ppm¡£

  3.1.5 ËÇÁÏÖÐÓªÑøÎïÖÊ¡£

  ËÇÁÏÖÐÒ»Ð©ÓªÑøÎïÖÊÒòȱ·¦»ò¹ýÁ¿£¬Ò²»áµ¼ÖÂÏÙθ¡¢¼¡Î¸Ñ׵ķ¢Éú£¬ÏÖ½«¾ßÌåÄÚÈÝ×ܽáÈçÏ£º

±í1 ²»Í¬ÓªÑøÎïÖÊʹÓò»µ±¶Ô¼¦µÄÏÙθ¡¢¼¡Î¸µÄÓ°Ïì

²»Í¬ÓªÑøÎïÖÊʹÓò»µ±¶Ô¼¦µÄÏÙθ¡¢¼¡Î¸µÄÓ°Ïì±í

  3.1.6 Ó¦¼¤

  º®À䯸ºò£¬³û¼¦ÔÚ³¤Í¾ÔËÊäÖУ¬±£Î´ëÊ©×öµÃ²»µ½Î»¼°Êܵ½Àä·çµÄ´Ì¼¤£¬ Ëù²úÉúµÄÓ¦¼¤Ó°ÏìÏÙθºÍ¼¡Î¸µÄ·¢Óý£¬Ôì³É¼¦ÏÙθÃÓÀúͼ¡Î¸²¡±äµÈÁÙ´²Ö¢×´£»Ïļ¾ÊªÈȵļ¦Éá»·¾³£¬¼¦Éáͨ·ç²î£¬·à±ãÇåÀí²»¼°Ê±£¬Ê¹¼¦ÉáÄÚÁò»¯Çâ¡¢°±Æø¡¢Ò»Ñõ»¯Ì¼µÈÆøÌåŨ¶È½Ï¸ß£¬¼¦²úÉúÈÈÓ¦¼¤£¬¼¦Èº×ÔÉíµÄµÖ¿¹Á¦Ï½µ£¬¶Ô²¡Ô­Î¢ÉúÎïµÄ¿¹²¡ÄÜÁ¦½µµÍ£¬¼«ÓпÉÄÜÓÕ·¢ÏÙ¡¢¼¡Î¸Ñס£

  3.2 ´«È¾ÐÔÒòËØ¡£

  һЩ´«È¾ÐÔ¼²²¡Ò²»áÓÕ·¢¼¦µÄÏÙθÑ׺ͼ¡Î¸Ñ׵ķ¢Éú£¬»òÕß²¢·¢Ö¢Ò²»á¶ÔÏÙθ¡¢¼¡Î¸½øÐÐÆÆ»µ£¬¾ßÌåÄÚÈÝ×ܽáÈçÏ£º

±í2 ÓÕ·¢¼¦ÏÙθ¡¢¼¡Î¸Ñ׵Ĵ«È¾ÐÔ¼²²¡

ÓÕ·¢¼¦ÏÙθ¡¢¼¡Î¸Ñ׵Ĵ«È¾ÐÔ¼²²¡±í

  4. Öβ»ÈçÑø£¬ÑøÎ¸ÊÇ·À¿ØÏÙθÑ׺ͼ¡Î¸Ñ×µÄÓÐЧÊֶΡ£

  ÒòÒýÆð¼¦ÏÙθÑ׺ͼ¡Î¸Ñ׵IJ¡Òò±È½Ï¸´ÔÓ¶àÑù£¬·À¿Ø´óÓÚÖÎÁÆ£¬ÑøÎ¸ÊÇ·À¿ØµÄÓÐЧÊÖ¶ÎÖ®Ò»£¬ÏÂÃæ½«ÑøÎ¸µÄ;¾¶½éÉÜÈçÏ£º

¼¦ÑøÎ¸Í¾¾¶½éÉÜ

  5. θ»Æ½ð¿ÅÁ££­-ÑøÎ¸¸ßÕС£

  bbin±¦Ó¯Î¸»Æ½ð¿ÅÁ£·Ö±ð´Ó½µµÍ¿¹Ñõ»¯ËðÉË¡¢¿¹¶¾ËØ¡¢Ìá¸ßʳÃÓÏû»¯ÂÊ¡¢ÔöÇ¿ÃâÒßÁ¦µÈ·½Ãæ½øÐÐÑøÎ¸¡£

  5.1ÄÉÃ×Îø¿ÉÌá¸ß¿¹Ñõ»¯¡¢¿¹Ó¦¼¤¡¢¿¹ËðÉ˺ͽⶾµÄÄÜÁ¦¡£

  5.2¾§Ìå×´¿óÎïÖÊ£¬¿ÉÌá¸ß¼¡Î¸ÑÐÄ¥¹¦ÄÜ£¬´Ù½ø¿ÅÁ£Ê³ÎïʳÃÓ»¯¡£

  5.3Óлú΢Á¿ÔªËØ£¬ÀûÓÃÂʸü¸ß£¬Ôöǿθð¤Ä¤¿¹ËðÉ˹¦ÄÜ¡£

  5.4¿¹Ñõ»¯¸´ºÏø£¬¾ßÓÐÇ¿¿¹Ñõ»¯¡¢½â¶¾ËØ¡¢µ÷Àí³¦µÀ¾úȺµÈ¹¦Ð§¡£

  ÑøÎ¸ÊÇ¿ØÖƼ²²¡µÄÖØÒªÊֶΣ¬ÒªÖØÊÓÏÙθÑ×¼°¼¡Î¸Ñ׵ķÀ¿Ø£¬½µµÍ¾­¼ÃËðʧ¡£

×îÐÂ×ÊѶ

sitemap¡¢µØÍ¼